本文へスキップ

北上市 サイトウデンタルクリニック 治療小物物語:歯を磨くこと

治療小物物語respective  stories

Vol. 6 歯を磨くこと

歯を磨く事は、ご飯を食べたり、風呂に入ったりする事と同じ様に誰もが当たり前にやっている行為です。なぜなら、これらの行為は私たち人間が日常の生活をする為には不可欠な行為だからです。しかし、この当たり前の事が出来ない人がいるのです。どんな人か分かりますか?皆さんはお体の不自由な方を思い浮かべるでしょう。確かに体が不自由であれば自分でやりたくても出来ませんから、どなたかに手伝ってもらわなければいけないでしょう。しかし、当クリニックに、手伝ってあげる事も出来ない患者さんが訪れました。その人は外見上どこにも異常が認められない二十代前半のお嬢さん(Eさん)でした。しかし、Eさんには心の病があったのです。中学の時にいじめにあい不登校になって、やがてひきこもりになってしまいました。
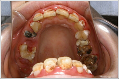
その後、更に症状が悪化し、ついに入浴、歯磨き、更衣が出来なくなってしまいました。その後、体の不調や歯痛に耐え、当クリニックを訪れたのは、歯磨きが出来なくなって七年目の春でした。その時のお口の中の状態です。


歯がプラークにすっかり包まれ、前歯はむし歯で溶かされ、歯ぐきは炎症で真っ赤に腫れ上がっています。プラークの染め出し液を使えば歯全体が真っ赤に染まって、汚れの具合がよく分かるのですが、あまりいやな思いはさせられませんので止めました。
この状態では、まず歯の治療よりもその根源であるプラーク(汚れ)の除去だと判断し、文字通り腫れ物に触る思いで慎重に取り除いていきました。二日に分けてお掃除をしたのがこの写真です。



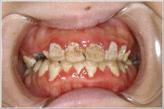
ところが実際には、むし歯は前歯よりも奥歯の方がひどかったのです。
歯を磨く事を止めてしまった結果がここに出てしまったのです。
その写真をここに載せますので見て下さい












これがうら若き女性のお口の中です。 初めはからかうつもりのいじめだったかも知れませんが、それがエスカレートして、生きる入り口の口腔機能を破壊するに止まらず、未来多き乙女の身も心もズタズタにし、更にその家庭をも破壊したいじめを私は決して許す事は出来ません。Eさんは当クリニックに3回通院してくれましたが、その後は体調不良を理由に通院は切れてしまいました。 本来であれば、約十本の抜歯、約十本の神経の治療を経て、約一年の歯科治療が必要と予測を立てていました。Eさんの予約は本人の希望で、他の患者さんとかち合わない様に、土曜日の午後にしていたのですが、3回通うのが精一杯だったのかも知れません。通院不可能で歯磨き不能あれば、せめて洗口するか、指にガーゼを巻いてプラークを拭い取るぐらいはして戴きたいと思いました。通院拒否という現実に、己の無力さを嘆きつつ、ソーシャルワーカーさんに何とか説得してもらう様頼むのが精一杯でした。私たちが空気の様に当たり前と思っている“日常”が壊されていく恐ろしさと、また日常を生きている有り難さを痛感させられた症例でした。

医療法人サイトウデンタルクリニック医療法人サイトウデンタルクリニックからのお知らせ

〒024-0061
岩手県北上市大通2-6-18
TEL 0197-63-3011
FAX 0197-63-3037