本文へスキップ

北上市 サイトウデンタルクリニック 治療小物物語:親知らず

治療小物物語respective  stories

Vol. 4 親知らず

呼び名の由来は色々あるようですが、私は「親元を離れて独り立ちする頃から生えてくる為に、親知らず と言われている」という説をとっています。 皆さんの中にも親知らずに悩まされた方は多いと思います。食文化の発達により人間の顎が小さくなり、親知らずの出てくる場所が無くなった為に色々と問題が起きているようです。親知らずが普通に生えてきて、相手の歯と噛み合っていれば問題はないのですが、多くの場合はほんの少しだけ顔を出し、後は出てこれない状態になります。その為、親知らずが虫歯になるのは止むを得ないことかも知れませんが、その前の大切な歯まで虫歯になり、抜かなければならなくなる事もよくあるのです。


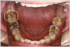
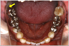
これは横向きに出てきた親知らずとその前の歯との間に食べ物が詰まり、取れなくなった為に奥の方まで炎症が広がり、結果的に前の歯を抜かなければならなくなった症例です。 この患者さんは「右下奥歯が動き出し、痛くて噛めなくなりました」といって来院されました。






ところが実際には、むし歯は前歯よりも奥歯の方がひどかったのです。歯を磨く事を止めてしまった結果がここに出てしまったのです。
その写真をここに載せますので見て下さい。








親知らずは虫歯にならず、その前の歯だけに大きな虫歯を造っている親知らずもあります。























また、一見それほど大きな虫歯ではない様に見える歯でも、少し顔を出した親知らずの為に抜かなければならぬ程の大きな虫歯になっている事もあるのです。


大切な歯を守る為に親知らずが顔を出したら一度歯科医院で調べてみてはいかがでしょう?

医療法人サイトウデンタルクリニック医療法人サイトウデンタルクリニックからのお知らせ

〒024-0061
岩手県北上市大通2-6-18
TEL 0197-63-3011
FAX 0197-63-3037