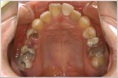
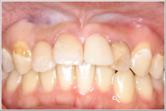
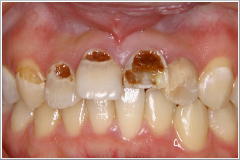
正月気分間覚めやらぬ1月8日、「前歯が折れてしまって、成人式に出られないんです。何とかならないでしょうか?」 という電話がありました。晴れの舞台に“歯っ欠け”ではさすがに気の毒で、「仮歯くらいなら、なんとかなりますよ」と答え、来院してもらうことになりました。その患者さんは20歳の女性(Cさん)で、左の写真の様なお口の状態でした。

〒024-0061
岩手県北上市大通2-6-18
TEL 0197-63-3011
FAX 0197-63-3037