Vol. 2 患者さんは急に飛び込んでくる
歯科を急に訪れる患者さんのことを急患といいます。
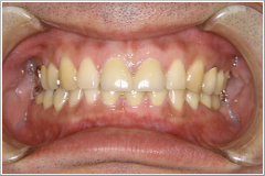
先日こんな急患がありました。主訴は前歯の隙間が気になるとの事でした。お口の中を診ると前歯に隙間がありました。
しかし、この患者さんは30代後半の男性で、以前に何度か当院を訪れた事のある人(Bさん)でした。以前にも前歯の審美的回復を勧めましたが、あまり気にならないとの事でした。それが、今回急に何とかして欲しいとの事です。Bさんの心を急に変えた理由は何なのでしょう。そこには色んな事情が重なり合って生じた心境の変化があったと推察されます。実際の治療では前歯の隙間をうめるために2本に白い歯をかぶせるか、4本でバランスをとるかをパソコンでシュミレーションし、Bさんの希望にしたがって、前者を選択しました。

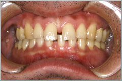
いずれにしましても、Bさんはずっと以前から前歯が気になっており、いつかは治したいと思っていて、ようやくその夢が実現したのではないかと私は勝手な解釈をしてみました。実際の治療後はこのようになりました。
急患ーそのほとんどは急に歯が痛くなったり、食事が出来なくなったり、また前歯が欠けて格好が悪いという人々ですが、中には、春になってようやく根雪が溶けるように願い続けた思いが表面化する急患もあるようです。私は急患は出来るだけ少ない方がいいと考えています。それは、歯科医療が歯科治療中心から歯科予防中心へと時代とともに変化しているからです。歯が痛くなったら歯医者に行く時代から、予防の為に定期的に歯科を訪れる時代に変わってきています。その流れを先取りするように、あなたも定期検診、メインテナンスをやってみませんか?