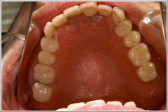
先日、急に飛び込んできた患者さんがありました。その患者さん(Aさんとします)は、風邪をひいたのかマスクをしていました。Aさんは「なんとかならないでしょうか?」と不安そうです。お口の中を見せてもらいました。残根の上には長いブリッジがはいっていたそうですが、遂に一挙に外れてしまったのだそうです。私も何とかしたかったのですが、X線で調べてみると使える歯は一本もありませんでした。

〒024-0061
岩手県北上市大通2-6-18
TEL 0197-63-3011
FAX 0197-63-3037